If your teeth and smile aren’t what they used to be, it can decrease your confidence and might possibly leave you in pain! No one deserves to go through life feeling uncomfortable because of damage to their teeth. We’re here to restore to your smile to its former glory, and maybe even leave it looking a little brighter!
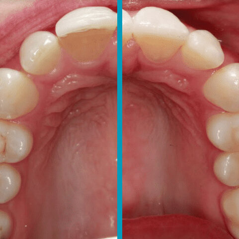
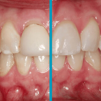
PORCELAIN CROWNS
Crowns are dental restorations that are used when a tooth has become damaged due to decay or trauma, or to cap a tooth after root canal therapy.
DENTAL BRIDGES
Dental bridges are used to replace a missing tooth, or teeth. They’re a comfortable and durable way to restore your smile and dental function.
FULL-MOUTH RECONSTRUCTION
If you’re experiencing pain or difficulty when chewing, have many missing or damaged teeth, and don’t feel comfortable with your smile, it may be time to consider full-mouth reconstruction.
OPTIONS FOR MISSING TEETH
Replacing missing teeth can now be done with a variety of minimally invasive procedures, and each option can provide attractive and stable new teeth.
ONE-VISIT ROOT CANAL THERAPY
The prospect of a root canal can feel nerve wracking, but we work to make the procedure as quick and painless as possible through painless anesthetization and one-visit treatment.
EXTRACTIONS & WISDOM TEETH
We do everything possible to save your natural teeth. However, if an extraction is required, we’ll carefully and gently extract your damaged tooth using a minimally invasive approach.










