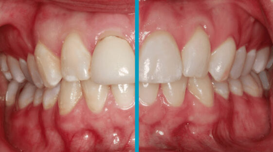
If you’re missing teeth, dental implants offer a natural looking and fully-functional option for replacing your teeth.
Dental implants behave like natural teeth, prevent bone loss and can last a lifetime with the proper care.
If you’re missing teeth, dental implants offer a natural looking and fully-functional option for replacing your teeth.
Dental implants behave like natural teeth, prevent bone loss and can last a lifetime with the proper care.
Skip the waiting room - We have a comfortable reception area where patients typically only wait a few minutes.





1 If you prefer to complete your forms manually click on the link below to download our patient forms.
2 The patient form will be saved to your computer (usually in your “Downloads” folder) as a PDF.
3 Locate the patient forms PDF in your computer and double-click it to open.
4 (Conditional) if you get a message saying that your computer doesn’t know how to open the file, you need Adobe Acrobat Reader, which is free software. You can download it here.
5 Once you’ve installed it, try step 3 again.
6 Once you’ve filled out the form, save it for your records. Print the file and bring it with you when you come into our office.